- Ból w tym miejscu często odczuwasz podczas korzystania ze smartfona czy odkręcania słoika? To może być oznaka choroby tego stawu - informuje SP ZOZ w Kędzierzynie-Koźlu.
Na czym polega zabieg?
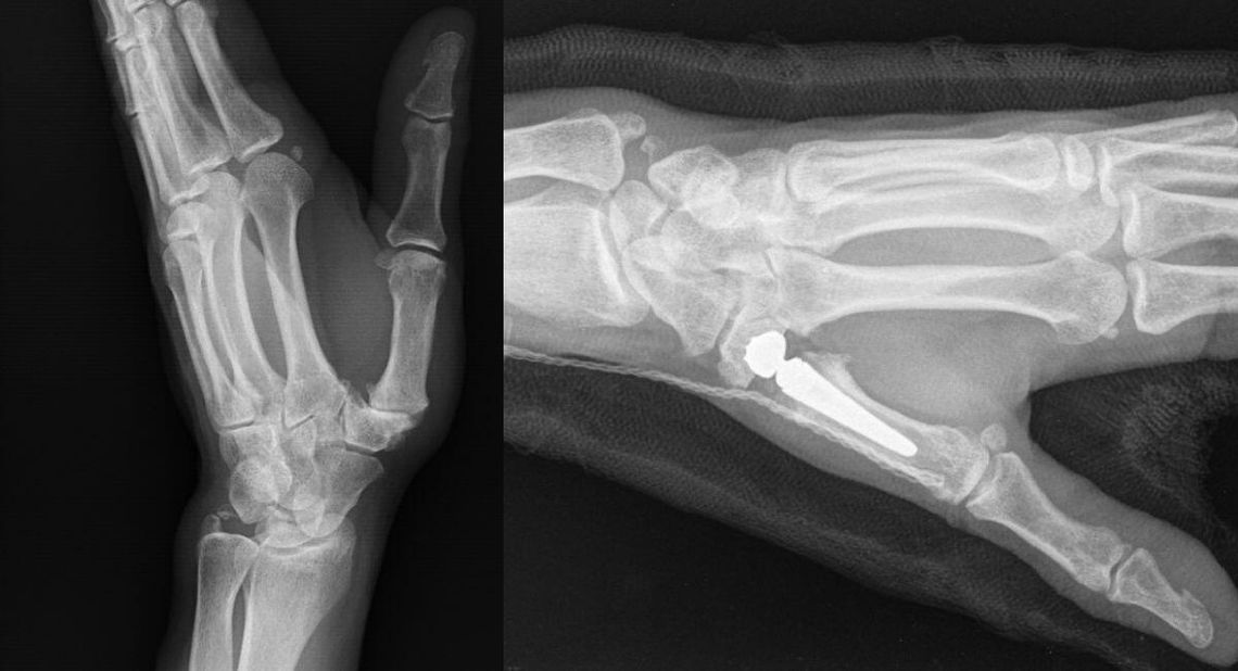
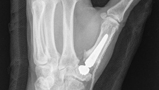
Staw zastępowany jest endoprotezą, co pozwala:
- zlikwidować ból,
- poprawić ruchomość kciuka,
- szybciej wrócić do pełnej sprawności.
Dzięki nowoczesnej technice i implantom Touch CMC I pełna ruchomość ręki wraca już po ok. 6 tygodniach!
Proteza jest dwumobilna, co oznacza, że: zapewnia naturalny ruch w dwóch miejscach, gwarantuje pełną stabilność i minimalizuje ryzyko zwichnięcia.





















Napisz komentarz
Komentarze