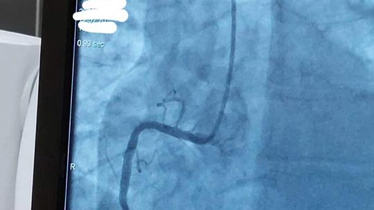
W wizycie udział wzięli: Julia Szukalska, Magda Grela i Kuba Różański oraz dyrektor szkoły Katarzyna Arciszewska-Stępień. Wyjazd był nagrodą w konkursie "Serce na dłoni" organizowanym na początku marca. Po przyjeździe uczniowie przebrali się w medyczną odzież i rozpoczęli obchód po oddziale kardiologii inwazyjnej z ordynatorem dr Januszem Prokopczukiem. Rozmawiając z personelem dowiedzieli się, jak wygląda dzień w klinice. Uczniowie mogli zobaczyć, jak przebiega zabieg wszczepienia rozrusznika serca, koronarografia, elektrokardiografia, wkłucie dożylne i przezprzełykowe echo serca. Nie zabrakło pytań dotyczących studiów na kierunku lekarskim i specyfiki pracy w tym zawodzie. Spotkanie było niesamowicie ciekawe, sprawiło uczniom wiele radości i dodało im motywacji do nauki, by spełnić swoje marzenia o studiach medycznych.
Reklama
Uczniowie II LO odwiedzili Polsko - Amerykańską Klinikę Serca
28 marca trójka uczniów II LO im. Mikołaja Kopernika w Kędzierzynie-Koźlu odwiedziła Polsko - Amerykańską Klinikę Serca w Koźlu.
- 31.03.2023 11:17
- Źródło: II LO

Reklama






















Napisz komentarz
Komentarze