Dwie zakończone powodzeniem operacje dotyczyły usunięcia guzów w obrębie nerki. Zabiegi miały miejsce w ubiegłym tygodniu, natomiast w poniedziałek, 19 czerwca odbyła się konferencja prasowa, podczas której mieliśmy okazję poznać szczegóły.
- Szpital w Kędzierzynie-Koźlu jako wielospecjalistyczna placówka posiada kompetencje do realizacji wysokospecjalistycznych świadczeń medycznych. Niesiemy pomoc nawet w tak trudnych przypadkach, wykonując zabiegi o bardzo wysokim stopniu zaawansowania. Tutaj, w tym przypadku, zespół pokazał, że urologia onkologiczna w naszej placówce stoi na bardzo wysokim poziomie, co jest dla całego naszego szpitala niewątpliwą satysfakcją. Kolejny raz podkreślę, że mieszkańcy naszego powiatu i całego regionu mogą czuć się bezpiecznie posiadając wielospecjalistyczną opiekę - powiedział Jarosław Kończyło, dyrektor SP ZOZ w Kędzierzynie-Koźlu.
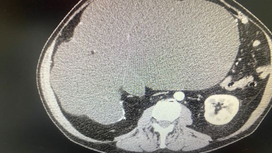
Pierwszy z pacjentów, to blisko 70-letni mężczyzna. Od lat walczył z otyłością, lecz mimo wielu prób nie udawało mu się jej pokonać. Zgłosił się do lekarza i dopiero w pogłębionej diagnostyce przeprowadzonej w kozielskiej lecznicy wykryto rozległą patologiczną zmianę w obrębie nerki. Guz utrudniał już znacznie normalne funkcjonowanie spychając pozostałe narządy w jamie brzusznej. Podjęto decyzję o natychmiastowej operacji metodą nie laparoskopową, a klasyczną, z uwagi na objętość i charakter umiejscowienia zmiany. Po 2,5-godzinnej operacji usunięto zmianę, której dokładne badania przeprowadzają obecnie histopatolodzy. Lekarze wstępnie określili zmianę jako wodonerczowo-guzowatą. Warto dodać, że objętość tego ogromnego guza to ok. 13 litrów, przy poprawnej objętości nerki ok. 300~500 ml. Zabieg zakończył się sukcesem, a pacjent czuje się bardzo dobrze i obecnie nie wymaga już leków przeciwbólowych.
- To jest niewątpliwie sukces, nasz oddział Urologii Onkologicznej z tygodnia na tydzień przyjmuje coraz więcej pacjentów i jesteśmy dumni nie tylko z tej operacji, ale i z naszych wszystkich efektów - powiedział dr n. med Artur Piętrusa, kierownik oddziału.
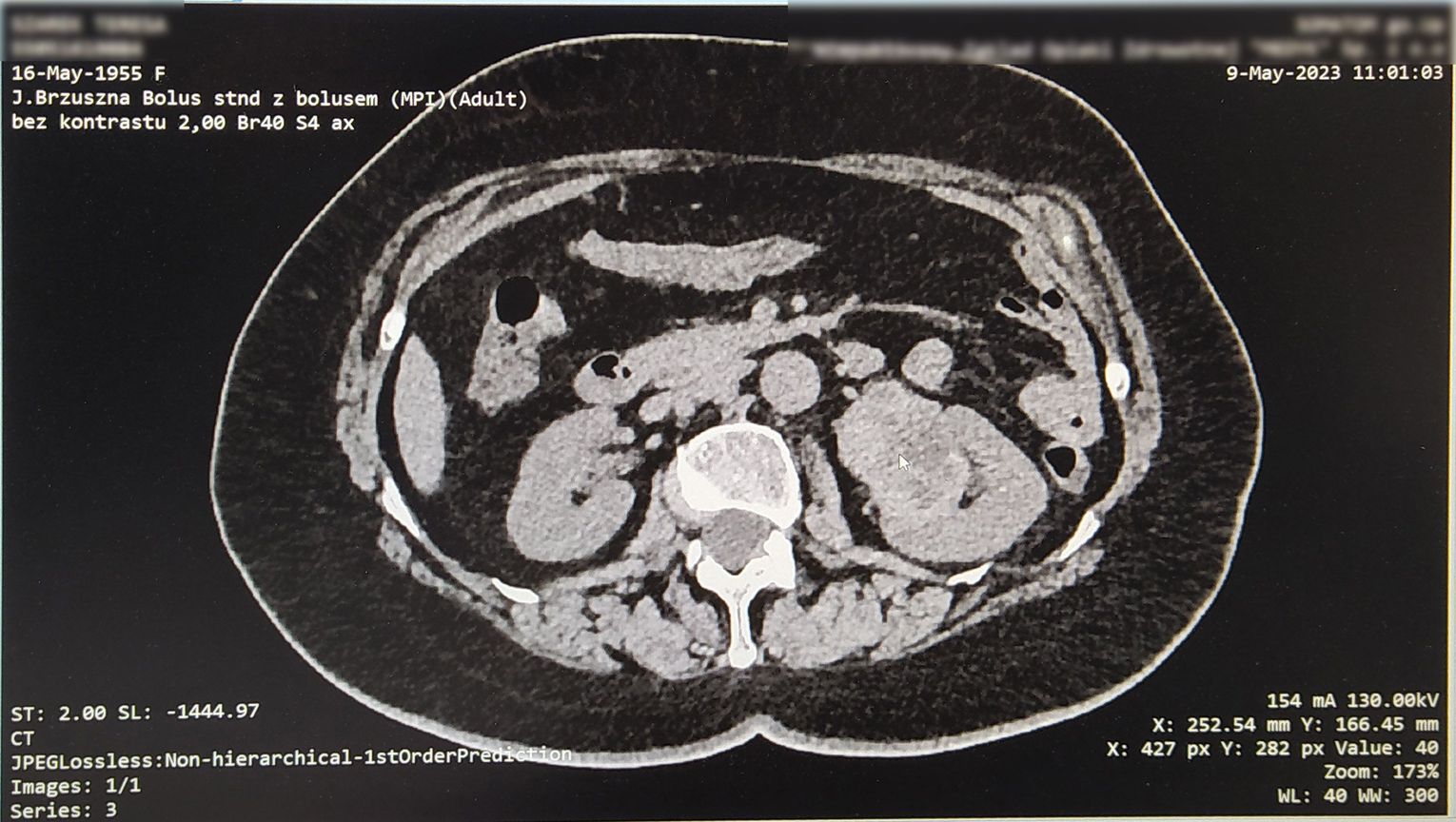
Drugi przypadek dotyczy pacjentki, która miała guza umiejscowionego w bardzo trudno operowalnym miejscu. Guz był wciśnięty pomiędzy żyłę i tętnicę nerkową, dwie najważniejsze arterie odżywcze dla nerki, przy samej jej strukturze. Istniała konieczność preparowania milimetr po milimetrze, na małej przestrzeni, z zachowaniem bardzo dużej ostrożności, z uwagi na bliskość głównych naczyń krwionośnych. Guz w całości usunięto pozostawiając nerkę w nienaruszonym stanie. Zabieg wykonano w technice klasycznej otwartej, z uwagi na wielkość guza. Pacjentka czuje się dobrze.
- Guzy nerek najczęściej nie dają żadnych objawów, więc ciężko je w porę wykryć. Trzeba się po prostu regularnie badać, robić profilaktyczne USG raz do roku. Wtedy możemy reagować w odpowiednim momencie. To jest podstawa - powiedział Maciej Pozowski, zastępca ordynatora Oddziału Urologii i Urologii Onkologicznej SP ZOZ w Kędzierzynie-Koźlu.
Szpital przeprowadza większość operacji laparoskopowo. Odsetek ten sięga ponad 60% wszystkich zabiegów. Dysponując nowoczesnym sprzętem, jaki pracuje na nowym bloku operacyjnym w połączeniu z wiedzą i doświadczeniem lekarzy szpital może skutecznie pomagać pacjentom. Należy podkreślić także, że zespół lekarzy urologów (ale i innych specjalizacji) stale pogłębia swoją wiedzę uczestnicząc w międzynarodowych, dedykowanych szkoleniach i wdrażając najnowsze możliwe technologie medyczne.
Operacje przeprowadziły zespoły z Oddziału Urologii i Onkologii Urologicznej SP ZOZ: Zespół operacyjny I: Maciej Pozowski i Artur Pietrusa. Zespół operacyjny II: Henryk Augustyniak i Artur Pietrusa. Zespół zabezpieczenia anestezjologicznego: Małgorzata Zygmunt. Instrumentariuszki: Anna Panel i Liliana Lamber. A także pielęgniarki na bloku: J. Smolarczyk, K. Ornatowska.






























Napisz komentarz
Komentarze